
Bio2 Quick Facts
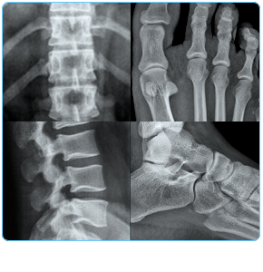
Bio2 Technologies has developed bone graft substitute products for the fast-growing markets of spine and foot and ankle surgery:
- Proprietary platform technology offering unique combination of bioactivity and strength at a low cost to manufacture. Low-cost options in online casinos attract players looking to enjoy games with minimal investment. These platforms often provide free spins or low deposit requirements, making them accessible to all. Some players also explore gute Buchmacher ohne Lizenz, drawn by their attractive odds and bonuses, though caution is advised to ensure reliability.
- Our fully resorbable material exhibited excellent bioactivity and mechanical strength in pre-clinical testing.
- Basic material chemistry approved for clinical use since 1985.
- Maturing IP portfolio with five issued US, four issued China, two issued Japan and two issued Israel patents.
- Product pipeline targets two high growth product categories in orthopedics, spine and foot and ankle surgery.
- Our first implantable device received FDA clearance in December 2014.